About

Pioneers in Personalized Dental Care

Best Dental Clinic In Jamshedpur

Providing Top-tier Dental Care Every Visit

Welcome to Smile Dental Clinic (Mango, Jamshedpur) and Dr. Rahi Dental Care (Parsudih, Jamshedpur), where your smile is our masterpiece! We don’t just treat teeth; we build confidence, comfort, and care with every appointment.

Most Trusted Dental in
Jamshedpur, Jharkahnd

Experience exceptional dental care at Smile Dental Clinic & Dr. Rahi Dental Care, a modern multi-specialty dental clinic in Jamshedpur, dedicated to providing comprehensive and advanced dental solutions for healthy, confident smiles.

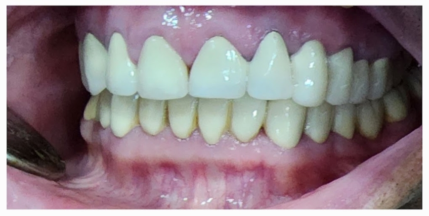
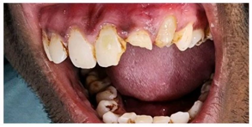
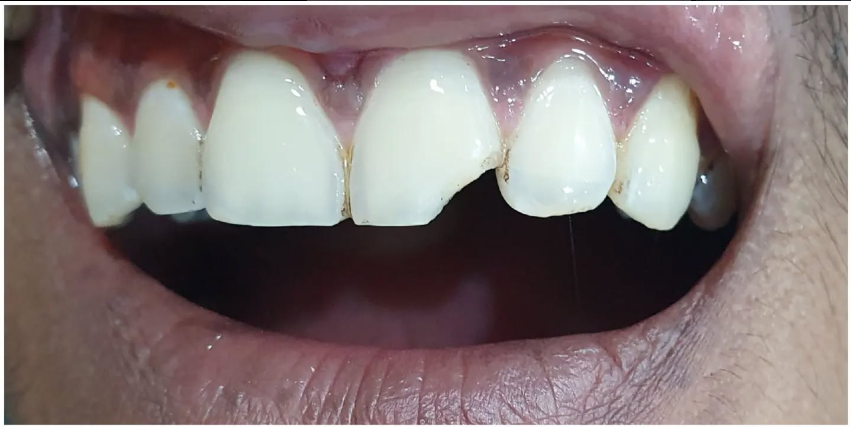
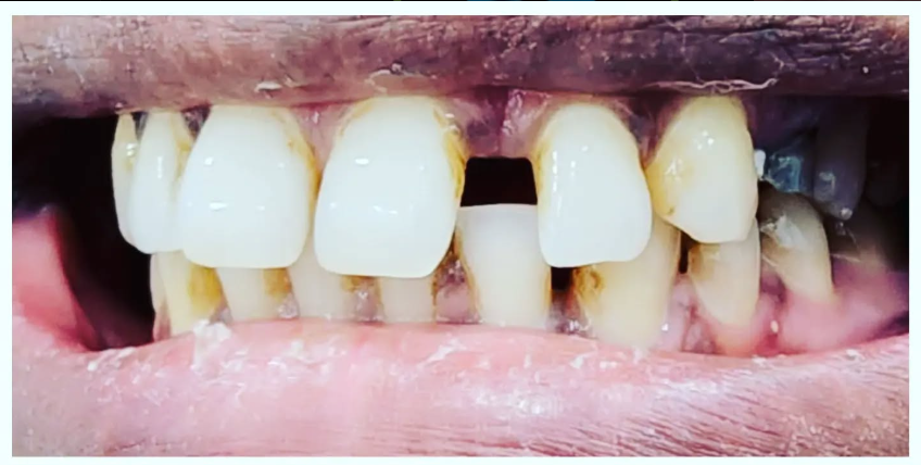
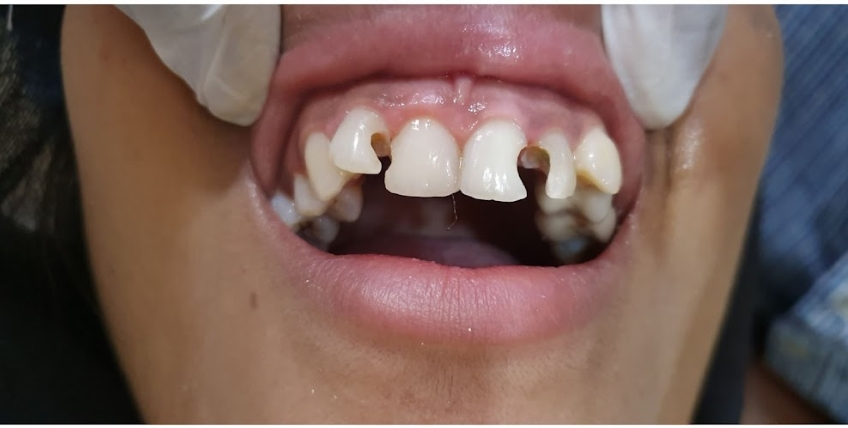
Witness the Power of a Smile:

Before & After Transformations

After
Before
After
Before
After
Before
After
Before
After
Before
After
Before

Working Hour

Dental Office Working Hours

Smile Dental Mango 10:00 AM - 08:00 PM
Friday & Sunday Closed
Tuesday Eveving Closed
Dr Rahi Dental Care, Parsudih 08:30 AM - 08:30 PM

Step into a world of excellence and compassionate care at Dr. Rahi Dental Care & Smile Dental Clinic, where your smile is our priority!

Quick Links

Home

Our Services

Contact us

Help

Terms of Services

F.A.Q.

Contact Us

Copyright © 2025 Dr Rahi Dental Care. All Rights Reserved